- Dettagli
- di Redazione
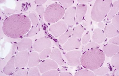
In uno studio, apparso di recente su Cell Reports, un team di ricercatori coordinati da Emilio Clementi e Clara De Palma del Dipartimento di Scienze biomediche e cliniche L. Sacco e dell’Asst Fatebenefratelli-Sacco, in collaborazione con l’Irccs E. Medea e Irccs Santa Lucia (Roma), ha identificato un collegamento tra la distrofia muscolare dei cingoli, nota come Limb Girdle Muscular Dystrophy (LGMD-2D), e un difetto nel processo di generazione dei mitocondri, associato ad un loro ridotto numero e ad una diminuita capacità ossidativa (energetica) del muscolo.

